最優秀作品賞
慶應義塾大学大学院医学研究科
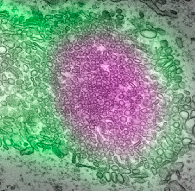
喜山 公輔
このたびは最優秀賞を賜り、大変光栄に存じます。学会関係者の皆さま、そしてご指導いただいております岡野先生、嶋田先生をはじめ、研究室の皆さまに、心より御礼申し上げます。本作品は、ヒトiPS細胞由来の脳オルガノイドをマウス脳に移植し、ヒトとマウスの細胞が相互作用して形成した血液脳関門(BBB)構造の一端を捉えたものです。その構造美を通して、神経科学や再生医療、そして創薬の未来を想起していただけたのであれば幸いです。こうした思いを皆さまと共有し、ご評価いただけたことを、大変うれしく思っております。今後も、このような美しい瞬間に出会えるよう、研鑽を重ねてまいります。



